The naked concussion emperor
I’ll be talking about the movie Concussion on WTTW, channel 11 here in Chicagoland. I look forward to talking with Phil Ponce on my second stint on Chicago Tonight (on my first visit, I talked about our work with rats and helping behavior). To anticipate talking about concussions (more so than about the movie), I thought I’d get into the spirit and give you a few of my latest thoughts on the topic of head trauma.
As I have explained in a previous post, I prefer the terms head trauma or traumatic brain injury (TBI) to concussion for a few reasons. Briefly these reasons include: 1) Intrinsic to the term concussion is the transience of symptoms. Yet the effects of head trauma sometimes last for a long time, even becoming worse with time. 2) Another defining feature of the concussion term is the presence of visible symptoms. Yet visible symptoms may be delayed. In contrast to concussion, head trauma is a descriptive term that reflects what we know (the head was hit) and does not make up what we don’t know (the extent to which the brain has or has not been damaged, what eventual neural consequences will occur as a result). I am heartened by the fact that the National Institute of Neurological Disorders and Stroke (NINDS) uses the term traumatic brain injury in place of concussion (if you google NINDS+concussion, you are taken to the page for TBI and the word concussion does not appear on this page).
While (the NINDS and) I prefer to use head trauma or traumatic brain injury, concussion remains the term in common use and is used by most people including most of those whom I quote.
I am fairly certain the emperor has no clothes
I was reading a highly informative article by Seth Berkman about concussions (his word) and women’s hockey in the New York Times.
I learned that a 2012 study showed that “female hockey players sustained concussions almost twice as frequently as men did.” The greater susceptibility of women to head trauma is surprising since the women’s game does not traditionally involve the fighting that characterizes the men’s game and since body checks, allowed in the men’s game, are penalized in the women’s game.
There is a higher incidence of symptomatic head trauma, aka “concussion,” in women’s soccer as well as in hockey. What accounts for the higher incidence of symptomatic head trauma, aka “concussion,” in women hockey players? One common guess has been that women have weaker necks. That may be, or not; the jury is out on this question.
Mr Berkman’s article describes the retirement of several women hockey players due to debilitating symptoms such as Paige Decker’s “constant headaches [that felt like] barbed wire constricting her brain.” We learn that Ms Decker “has visited more than 40 physicians… and [sustained] thousands of dollars in bills.” This infuriates me. There is no treatment for neurological impairment that results from head trauma. To put it in the vernacular: there is no treatment for a concussion. At least no treatment that a physician could possibly bill thousands of dollars for. Don’t trust me on this. Take a look at Mayo Clinic’s web page on concussion treatment, excerpted here:
“Rest is the most appropriate way to allow your brain to recover from a concussion. Your doctor will recommend that you physically and mentally rest to recover from a concussion….For headaches, try taking a pain reliever such as acetaminophen (Tylenol, others).”
Seriously, that is what the medical profession has to offer. Rest, avoid exertion of either the mental or physical variety, and hope for the best. NINDS (the neuro’ branch of the National Institutes of Health) has a few additional suggestions. Here is their entire paragraph on treatments for traumatic brain injury:
Anyone with signs of moderate or severe TBI should receive medical attention as soon as possible. Because little can be done to reverse the initial brain damage caused by trauma, medical personnel try to stabilize an individual with TBI and focus on preventing further injury. Primary concerns include insuring proper oxygen supply to the brain and the rest of the body, maintaining adequate blood flow, and controlling blood pressure. Imaging tests help in determining the diagnosis and prognosis of a TBI patient. Patients with mild to moderate injuries may receive skull and neck X-rays to check for bone fractures or spinal instability. For moderate to severe cases, the imaging test is a computed tomography (CT) scan. Moderately to severely injured patients receive rehabilitation that involves individually tailored treatment programs in the areas of physical therapy, occupational therapy, speech/language therapy, physiatry (physical medicine), psychology/psychiatry, and social support.
By using the umbrella term TBI, NINDS is mixing together penetrating (such as occur with gunshots, shrapnel, IEDs) and non-penetrating (such as occur with rapid head accelerations) wounds. The stabilizing of the oxygen and blood supply and so on is, I am guessing, mainly aimed at those with cranium-penetrating wounds.
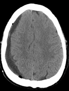
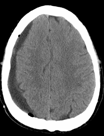
In the case of non-penetrating head trauma, the one immediate concern is to make sure that there is no intracranial bleed. Intracranial bleeds can be tricky, producing symptoms at one moment and not at later periods. This is what happened to Natasha Richardson who hit her head while skiiing. She felt badly and then interpreted a subsequent lucid interval as a sign that all was well. All was not well and by the time this was realized, Ms Richardson was out of time. If there is any possibility of an intracranial bleed, going to an ER to check that out is the right thing to do. Here is what you hope you don’t find:

This is an image of a bleed provided by a reader. The owner of this brain fell off his bike and hit his head. He only developed symptoms 3 months later. He went to the hospital and this slowly developing bleed was revealed. He was lucky and he is fine today.
So, if one discards the dire warnings aimed at those with penetrating head trauma, the NINDS and Mayo Clinic recommendations align very well. Mayo Clinic recommends rest. NINDS recommends strategies for coping that involve rehabilitation and therapy of various sorts from health professionals – not from physicians. So what the heck were physicians charging Ms Decker for that could have possibly amounted to thousands?
From where I sit, the medical profession should be saying a lot more of “I don’t know” when it comes to non-penetrating TBI. Here are some questions for which I have never seen compelling answers :
- How many blows to the head will it take before I do permanent damage?
- If I suffer several concussions, will I go on to develop chronic traumatic encephalopathy (CTE)?
- How long do I need to stop playing sports after I hit my head?
- Are children at greater, or less, risk of permanent damage after suffering head trauma?
- Am I okay as long as I don’t lose consciousness?
I believe the answer to all of these, except #5, is I don’t know. And I think this is the correct answer for physicians too.
The answer to #5 is No, not necessarily. Head trauma that causes a headache, double vision, nausea or the like could be a problem. Heck, head trauma that causes no immediate symptoms is a known problem at least for some. In a recent Chicago Tribune article, Dr Julian Bailes was quoted as saying, “Regarding CTE, I think the real risk isn’t concussion but repetitive blows. The big thing is to reduce the unnecessary, excessive, gratuitous head contacts.” Dr Bailes is talking about repetitive blows that result in no symptoms. As I have discussed previously, evidence suggests that repeated nonsymptomatic head trauma may lead to CTE.
I am as perplexed by Dr Bennet Omalu’s magic line of 18 years old, before which he says kids should not play football and after which it is okay, as I am by Dr Bailes’ support for youth football. I don’t think that a lack of “evidence that CTE has ever occurred just from playing youth football” is evidence that youth football is okay. A lack of evidence is no evidence which means that the appropriate response to Should young boys play football? is I don’t know; we don’t know and it is not known.
I want you to know that my belief that medicine does not have much to offer after a mild head trauma is sincere. It is sincere enough that I did not seek help for my own (extremely mild) head trauma.
My own “concussion”
I gave myself a mild TBI last month. I saw reference to an all-in-one exercise called a “burpee.” I watched a video of said burpee and then wanted to show my friend Lorenzo my new discovery as we rode our morning train into the city. So we descended from the 2nd floor (where Lorenzo’s boys, Ian and Jordi, insist that we all sit) to the first floor where there is a small open area with no ceiling. A burpee starts from a squat position, goes to a pushup, and then ends when you leap up and back into an upright position. I started fine, did my pushup and then leaped up with gusto. Unfortunately I had not realized that I had moved forward quite a bit when I went from the squat to the pushup position. So by the time I leapt up, I was leaping up into the ceiling. At full force and with extreme gusto. Totally slammed the crown of my head into the metal ceiling. And I mean slammed. I immediately fell back down holding my head as a bad headache instantly bloomed.
The headache did not go away for days. I did this on a Tuesday and I was finally headache free on Sunday, 5 days later. For a week (I gave myself an extra couple days of rest just to be sure), I did not exercise or physically exert myself at all. Since then, I have been symptom free. Lesson learned at minimal cost.
Back to the movie
The movie Concussion is worth seeing. It is powerful and moving. The movie correctly highlights the incredible contribution made by Dr Omalu. Dr Omalu pursued the pathology of Mike Webster and those who followed him. He named CTE. He reified the disease and made us all realize that head trauma can lead to CTE. He transformed head trauma from a problem exclusive to ex-boxers and made it all of our problem. Dr Omalu brought head trauma into our homes, where all of us vulnerable humans live without the TBI-protective adaptations of woodpeckers, gannets, bighorn sheep and rabbits. CTE is a potential problem for anyone who rides a bike, plays soccer or hockey or football or lacrosse; for anyone who is unfortunate enough to slip on ice or be in a motor vehicle accident. Head trauma can happen and does. Even the greatest safeguards will not stop humans from hitting their heads. So this is an issue to think about, discuss with your family. Choose your risks and choose your path. Only you should make your choices.



Be careful out there….join the chess team. Happy New Year
LikeLiked by 1 person
Funny Francine!!
LikeLike
Thank you for your continuing efforts to educate people as to the truth about traumatic brain injury!
LikeLike
Another thing I learned from you that gives me pause as a cyclist, is that a helmet doesn’t solve the problem, since my brain would still be bashed against the inside of my cranium. Also, that rotational trauma is more dangerous than a straight on hit.
LikeLike
Hey Sharon,
This is absolutely true. Helmets protect against linear forces and decrease the likelihood that your skull will fracture. But helmets don’t protect against rotational forces which are far more destructive to the brain than linear ones. I go into this in the postscript to my rant on the concussion term.
I think that a related confusion may be that the head has to hit something in order to cause TBI. In fact the head just has to accelerate for injury to occur. The problem is that the brain and skull are moved by said acceleration at different velocities so that the brain slams into the skull. That is the problem. Therein lies the rub.
P
LikeLike
Why do hospitals ignore the recommendations for rest post concussion? I was hospitalized with a depressed skull fracture/concussion with loss of consciousness yet the hospital sent in both OT and PT for therapy and testing the very next day. With several orthopedic fractures I was heavily medicated yet subjected to cognitive testing, gait training etc. I can only assume they are concerned with obtaining as many ancillary service charges as possible with concern for the patient’s recovery.
LikeLike
Hi Wml,
[Remember I am not an MD!!!] I would imagine that the game is changed by a skull fracture along with “several [other] fractures.” First of all, it was a good thing to be in the hospital. I would have gone too. As far as monitoring you, my guess is that they need to know the moment that things turn worse. With that serious of a known injury, I would want to know that further developments would be caught ASAP. That is how I would interpret the cognitive testing.
Medicine is an empirical science. They do less of things that don’t work and more of things that do work. The trick is what does it mean “to work.” This is where the myopia comes in. What works is what works for the hospital – patient goes home. As with anything, it depends on the question you ask. Does procedure X lead to more rapid discharge from the hospital? vs Does procedure X produce a better quality of life in the long term (1, 5, 10 years down the road)? Most, by a long shot, medical studies ask the former or if they ask the latter, they do so with a short follow up time in the range of weeks.
I hope you’re doing okay. Sounds as though that was a frightful experience,
P
LikeLike
Thanks for your reply, I’m fine and still have no memory of the accident (fall off ladder), but as the wife of a neurosurgeon and a speech pathologist, I’m still upset by the OT testing as I was so heavily medicated they couldn’t have obtained any reliable results. This experience has definitely altered the way I approach head injury patients early in their hospital course.
LikeLike
Hi Peggy, I sent your blog to my brother (owner of the brain shown above) and his doctor friend Steve who made this observation – “Hi Kit. If you look carefully at your scans in addition to the SDH you will also see an advanced case of chronic bilateral biventricular interstitial stubbornness!!”
LikeLike
Love that!!! I clearly have lots to learn from Steve about reading brain scans!!
Keep gazing at your cat and I will do the same,
P
LikeLike